فهرست مطالب
محققان دانشگاه جان هاپکینز موفق به شناسایی سازوکار سلولی شدهاند که نقش تعیینکنندهای در شکلگیری بینایی انسان با قدرت تفکیک بالا دارد.
به گزارش سرویس علمی تکناک، این تیم پژوهشی با بهرهگیری از ارگانوئیدهای شبکیه پرورشیافته در محیط آزمایشگاه، نشان دادند که چگونه چشم در جریان تکوین، ناحیه فووئولا را با انواع مشخصی از سلولهای گیرنده نور ضروری برای ایجاد دید شفاف، غنی میکند. فووئولا کوچکترین و مرکزیترین بخش شبکیه است که مسئول بینایی با وضوح بسیار بالا و تمرکز دقیق به حساب میآید.
حتما بخوانید: تولد چشمهای دیجیتال؛ شبیهسازی تکامل بینایی با هوش مصنوعی
یافتهها حاکی از آن است که بینایی دقیق انسان در دوره جنینی و در نتیجه تعامل پویا میان اسید رتینوئیک (مشتقی از ویتامین A) و هورمونهای تیروئیدی شکل میگیرد؛ تعاملی که مسیر تمایز و سازماندهی سلولهای حساس به نور را هدایت میکند. به گفته رابرت جی. جانستون جونیور، استاد دانشیار زیستشناسی و رهبر این پژوهش در دانشگاه جانز هاپکینز، این دستاورد گامی کلیدی در جهت فهم عملکرد مرکز شبکیه است؛ ناحیهای حیاتی در بیماران مبتلا به دژنراسیون ماکولا که به عنوان نخستین بخش دچار این نارسایی میشود. او تاکید کرد که تعمیق شناخت این منطقه و ساخت ارگانوئیدهای شبکیه که عملکرد آن را بازسازی میکنند، میتواند در آینده زمینهساز پرورش و پیوند این بافتها برای احیای بینایی از دسترفته باشد.
01
از 02ساختار فوقپیچیده چشم و بینایی انسان
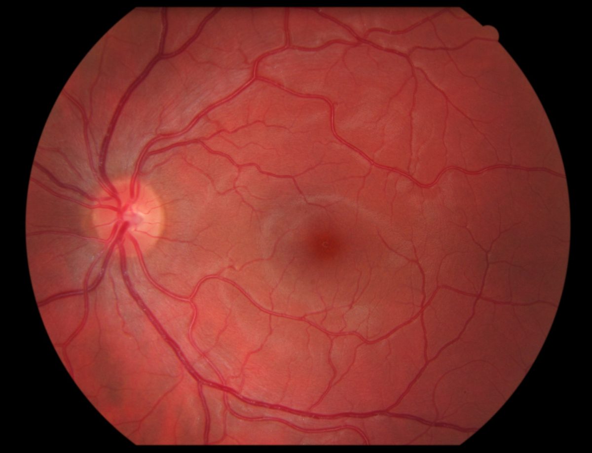
در کانون شبکیه انسان، ساختاری فرورفته و فوقتخصصی به نام فووئولا قرار دارد؛ ناحیهای میکروسکوپی که با وجود ابعاد ناچیز، حدود نیمی از ظرفیت ادراک بصری ما را تامین میکند. توانایی خواندن متن یا انجام اعمال ظریف، به طور مستقیم به عملکرد همین بخش وابسته است. برای دستیابی به چنین حدی از قدرت تفکیک، فووئولا باید به طور انحصاری از مخروطهای قرمز و سبز اشباع شود. مخروطهای آبی که در پردازش رنگ با وضوح پایینتر نقش دارند، در این نقطه مرکزی بهمثابه نویز عملکردی تلقی میشوند و حضور آنها از شفافیت تصویر میکاهد. ارگانوئیدهای شبکیه پرورشیافته در آزمایشگاه نشان دادهاند که سازوکارهای سلولی دقیق، آرایش مخروطهای قرمز، سبز و آبی را هدایت میکنند و فووئولا به صورت انتخابی از استقرار مخروطهای آبی جلوگیری میکند تا بیشینه وضوح بصری تضمین شود. تکوین فووئولا در دوران جنینی از طریق یک فرایند شیمیایی دومرحلهای و زمانبندیشده انجام میشود.
بیشتر بخوانید: پیشرفت در بینایی رباتیک با ساخت یک چشم مرکب مصنوعی الهامگرفته از مگس سرکه

در بازه هفتههای ۱۰ تا ۱۴ بارداری، اسید رتینوئیک ابتدا تولید اولیه مخروطهای آبی را مهار میکند. در مرحله بعد، هورمونهای تیروئیدی وارد عمل میشوند و مخروطهای آبی باقیمانده را به طور عملکردی و ساختاری به مخروطهای قرمز و سبز تبدیل میکنند. به گفته جانستون، اسید رتینوئیک، الگوی اولیه را تثبیت میکند، سپس هورمون تیروئید فرایند تبدیل سلولهای باقیمانده را تکمیل میسازد؛ فرایندی حیاتی، چرا که حضور مخروطهای آبی در مرکز شبکیه باعث افت کیفیت بینایی میشود. نتایج مربوط به این تبدیل سلولی، نظریه غالب سه دهه اخیر را زیر سوال میبرد؛ نظریهای که مدعی بود مخروطهای آبی در جریان رشد از مرکز شبکیه به نواحی پیرامونی مهاجرت و هویت سلولی خود را بدون تغییر حفظ میکنند. با وجود این، دادههای جدید از مدلی متفاوت حمایت میکند: بهجای جابهجایی ساده، این سلولها در گذر زمان دچار تغییر سرنوشت و بازبرنامهریزی میشوند؛ یافتهای که درک ما از تکوین شبکیه را دگرگون میکند.
02
از 02ارگانوئیدهای شبکیه حیوانات
برای مطالعه بیشتر: این عینک هوشمند نمره چشمتان را تغییر میدهد
با توجه به اینکه مدلهای حیوانی متداول نظیر موش و ماهی فاقد الگوی سازمانیافتگی اختصاصی شبکیه انسان هستند، ارگانوئیدهای شبکیه کشتشده در آزمایشگاه، بستری بیسابقه برای مطالعه و طراحی درمانهای نوین کاهش بینایی فراهم کردهاند. این پیشرفت میتواند مسیر توسعه مداخلات درمانی برای بیماریهای بینایی تاکنون غیرقابلدرمان، از جمله دژنراسیون ماکولا را هموار سازد. پژوهشگران دانشگاه جان هاپکینز قصد دارند با ارتقای دقت و بلوغ عملکردی ارگانوئیدهای شبکیه، کارکرد چشم انسان را با جزئیاتی مهندسیپذیر بازآفرینی کنند؛ گامی که امکان تولید فتورسپتورهای «سفارشیسازیشده» را فراهم میکند. چنین رویکردی میتواند باعث شکلگیری نسل جدیدی از درمانهای سلولمحور شود؛ درمانهایی که سلولهای سالم و آزمایشگاهی به شبکیه بیمار پیوند زده میشوند تا جایگزین بافت تخریبشده شوند و به صورت بالقوه بینایی ازدسترفته را احیا کنند.
این یافتهها ۱۳ فوریه در نشریه معتبر Proceedings of the National Academy of Sciences منتشر شده است.

















